Lapsen munuaissyöpä: Syyt, oireet ja hoito

Jo pelkkä lapsen syövästä puhuminen on lamauttavaa, mutta totuus on, että vaikka syöpätaudit ovat lapsilla harvinaisia, myös lapset voivat sairastua tähän ikävään tautiin. Yleisimpiä lapsilla esiintyviä syöpätauteja ovat leukemiat, lymfoomat ja pahanlaatuiset aivokasvaimet. Näiden jälkeen yksi yleisimmistä syöpätyypeistä on munuaissyöpä.
Lapsen munuaissyöpä
Normaalisti ihmisen elimistön solut jakautuvat niin, että uusi solu syntyy vanhan solun tullessa elinkaarensa päähän. Joissain tapauksissa solu voi kuitenkin alkaa kasvaa ja jakaantua hallitsemattomasti, ja tällaisista soluista muodostunutta massaa kutsutaan kasvaimeksi. Kasvain voi olla hyvän- tai pahanlaatuinen. Pahanlaatuisia kasvaintauteja kutsutaan syöväksi. Syöpäsolut eivät aina muodosta tiivistä kasvainta, kuten esimerkiksi leukemian tapauksessa.
Lasten yleisin munuaissyöpä on Wilmsin kasvain, eli nefroblastooma, johon liittyy sikiön munuaissoluja muistuttavien solujen epänormaali lisääntyminen. Kaikista lasten kiinteistä kasvaimista noin 7 % ovat nefroblastoomia. Näitä kasvaimia todetaan eniten 1-5-vuotiailla lapsilla, ja tautia esiintyy yhtä paljon molemmilla sukupuolilla. 5-10 % tapauksista kasvain kehittyy kumpaankin munuaiseen.

Lapsuusajan munuaissyövän aiheuttajat
Wilmsin kasvain on sporadinen 99 prosentissa tapauksia. Noin joka kymmenes tapaus liittyy synnynnäisiin poikkeavuuksiin tai on osa jotain oireyhtymää. Taipumus kasvaimeen on harvoin perinnöllinen.
Mahdollisia nefroblastoomalle altistavia tekijöitä ovat ainakin seuraavat:
- WAGR-oireyhtymä, jonka piirteitä ovat kehitysvammaisuus, sukupuolielinten ja virtsaelinten epämuodostumat sekä silmän värikalvon puuttuminen.
- Denys-Drash-oireyhtymä, joka aiheuttaa sukupuolielinten epämuodostumia ja nefropatiaa.
- Beckwith-Wiedemannin syndrooma, johon liittyvät taipumus kasvaimiin ja synnynnäiset epämuodostumat. Oireyhtymän piirteitä ovat matala verensokeri, haiman ja kielen poikkeuksellinen suurikokoisuus ja joissain tapauksissa takaraivon poikkeamat.
- Perlmanin oireyhtymä, johon kuuluvat kuuluvat haiman liikakasvu,
sikiökauden jättikasvuisuus ja lievä henkinen kehitysvammaisuus. - Munuaissyövän esiintyminen perheessä. Suvuttaiset tapaukset ovat kuitenkin hyvin harvinaisia.
- Virtsateiden ongelmat.
- Tuberoosiskleroosi, joka aiheuttaa useiden eri elinten hyvänlaatuisia kasvaimia.
- Munuaisytimen syöpä, munuaissolukarsinooma ja leiomyomatoosi.
Munuaissyövän tyypilliset oireet
Ensimmäinen Wilmsin kasvaimen lapselle aiheuttama oire on yleensä vatsan alueella esiintyvä massa. Tämän lisäksi lapsi saattaa kärsiä vatsakivusta, huonovointisuudesta, oksentelusta, ruokahalun puutteesta tai ummetuksesta. Osalla lapsista esiintyy kohonnutta verenpainetta, anemiaa ja verivirtsaisuutta.
Sairastavalla lapsella saattaa nousta kuume ilman selvää syytä, minkä lisäksi hän voi tuntea itsensä väsyneeksi ja kärsiä rintakivuista. Myös selittämätön painon putoaminen on tavallista.
Nefroblastooma kehittyy nopeasti ja leviää paikallisesti esimerkiksi imusolmukkeisiin, verisuoniin ja vatsaonteloon. Lisäksi sillä on taipumus muodostaa etäpesäkkeitä maksaan ja keuhkoihin. Jos syöpä leviää näihin elimiin, oireet ovat erilaiset, ja niihin kuuluvat vatsakipu, yskä, hengitysongelmat ja veren yskiminen.
Lapsen munuaissyövän diagnosoiminen
Munuaissyövän diagnosoimiseksi lääkäri suorittaa kattavan terveystarkastuksen lapsen yleisen terveydentilan määrittämiseksi. Lapsen terveyshistoriasta ja tavoista kerätään tietoa.
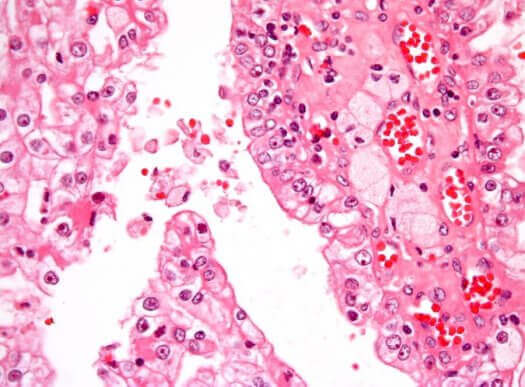
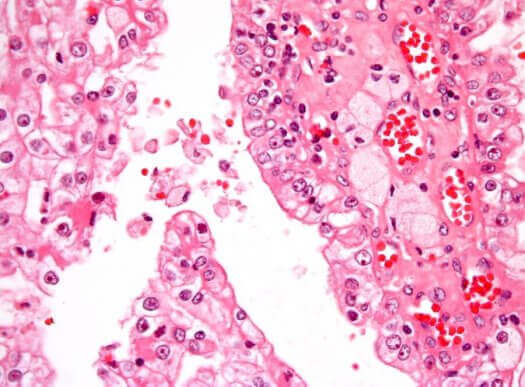
Wilmsin kasvaimen diagnosoiminen ja taudin levinneisyyden arvioiminen perustuvat kuvantamiseen. Tieto kasvaimesta on mahdollista saada ultraäänitutkimuksen avulla, mutta kasvaimen tarkan koon ja levinneisyyden varmistamiseksi täytyy suorittaa magneetti- tai tietokonetomografiakuvaus. Yleensä kasvaimesta otetaan myös karkeaneulanäyte.

Munuaissyövän hoito
Wilmsin kasvaimen hoitoon kuuluu aina sytostaattihoito, jonka laatu ja kesto riippuvat taudin levinneisyydestä ja kudosrakenteesta. Tämän lisäksi hoitona voidaan käyttää leikkaushoitoa ja joissain tapauksissa myös sädehoitoa.
Valitettavasti nämä hoitomuodot voivat aiheuttaa ikäviä sivuvaikutuksia jopa kuukausiksi. Pahimmillaan oireet ovat munuais- ja sydänongelmia, mielialanvaihteluita, ajattelu- ja oppimisvaikeuksia ja jopa toisen tyyppisiä syöpiä.
Useimmissa sairastumistapauksissa ennuste on hyvä, ja yli 90 % potilaista säilyy hengissä. Myös potilailla, joilla tauti on levinnyt laajalle, on hyvä ennuste.
Jos lapsella huomataan mitä tahansa normaalista poikkeavia oireita, tulee ottaa välittömästi yhteyttä lääkäriin. Mitä tulee syövän hoitoon, aikainen toteaminen on erittäin tärkeässä roolissa.
Jo pelkkä lapsen syövästä puhuminen on lamauttavaa, mutta totuus on, että vaikka syöpätaudit ovat lapsilla harvinaisia, myös lapset voivat sairastua tähän ikävään tautiin. Yleisimpiä lapsilla esiintyviä syöpätauteja ovat leukemiat, lymfoomat ja pahanlaatuiset aivokasvaimet. Näiden jälkeen yksi yleisimmistä syöpätyypeistä on munuaissyöpä.
Lapsen munuaissyöpä
Normaalisti ihmisen elimistön solut jakautuvat niin, että uusi solu syntyy vanhan solun tullessa elinkaarensa päähän. Joissain tapauksissa solu voi kuitenkin alkaa kasvaa ja jakaantua hallitsemattomasti, ja tällaisista soluista muodostunutta massaa kutsutaan kasvaimeksi. Kasvain voi olla hyvän- tai pahanlaatuinen. Pahanlaatuisia kasvaintauteja kutsutaan syöväksi. Syöpäsolut eivät aina muodosta tiivistä kasvainta, kuten esimerkiksi leukemian tapauksessa.
Lasten yleisin munuaissyöpä on Wilmsin kasvain, eli nefroblastooma, johon liittyy sikiön munuaissoluja muistuttavien solujen epänormaali lisääntyminen. Kaikista lasten kiinteistä kasvaimista noin 7 % ovat nefroblastoomia. Näitä kasvaimia todetaan eniten 1-5-vuotiailla lapsilla, ja tautia esiintyy yhtä paljon molemmilla sukupuolilla. 5-10 % tapauksista kasvain kehittyy kumpaankin munuaiseen.

Lapsuusajan munuaissyövän aiheuttajat
Wilmsin kasvain on sporadinen 99 prosentissa tapauksia. Noin joka kymmenes tapaus liittyy synnynnäisiin poikkeavuuksiin tai on osa jotain oireyhtymää. Taipumus kasvaimeen on harvoin perinnöllinen.
Mahdollisia nefroblastoomalle altistavia tekijöitä ovat ainakin seuraavat:
- WAGR-oireyhtymä, jonka piirteitä ovat kehitysvammaisuus, sukupuolielinten ja virtsaelinten epämuodostumat sekä silmän värikalvon puuttuminen.
- Denys-Drash-oireyhtymä, joka aiheuttaa sukupuolielinten epämuodostumia ja nefropatiaa.
- Beckwith-Wiedemannin syndrooma, johon liittyvät taipumus kasvaimiin ja synnynnäiset epämuodostumat. Oireyhtymän piirteitä ovat matala verensokeri, haiman ja kielen poikkeuksellinen suurikokoisuus ja joissain tapauksissa takaraivon poikkeamat.
- Perlmanin oireyhtymä, johon kuuluvat kuuluvat haiman liikakasvu,
sikiökauden jättikasvuisuus ja lievä henkinen kehitysvammaisuus. - Munuaissyövän esiintyminen perheessä. Suvuttaiset tapaukset ovat kuitenkin hyvin harvinaisia.
- Virtsateiden ongelmat.
- Tuberoosiskleroosi, joka aiheuttaa useiden eri elinten hyvänlaatuisia kasvaimia.
- Munuaisytimen syöpä, munuaissolukarsinooma ja leiomyomatoosi.
Munuaissyövän tyypilliset oireet
Ensimmäinen Wilmsin kasvaimen lapselle aiheuttama oire on yleensä vatsan alueella esiintyvä massa. Tämän lisäksi lapsi saattaa kärsiä vatsakivusta, huonovointisuudesta, oksentelusta, ruokahalun puutteesta tai ummetuksesta. Osalla lapsista esiintyy kohonnutta verenpainetta, anemiaa ja verivirtsaisuutta.
Sairastavalla lapsella saattaa nousta kuume ilman selvää syytä, minkä lisäksi hän voi tuntea itsensä väsyneeksi ja kärsiä rintakivuista. Myös selittämätön painon putoaminen on tavallista.
Nefroblastooma kehittyy nopeasti ja leviää paikallisesti esimerkiksi imusolmukkeisiin, verisuoniin ja vatsaonteloon. Lisäksi sillä on taipumus muodostaa etäpesäkkeitä maksaan ja keuhkoihin. Jos syöpä leviää näihin elimiin, oireet ovat erilaiset, ja niihin kuuluvat vatsakipu, yskä, hengitysongelmat ja veren yskiminen.
Lapsen munuaissyövän diagnosoiminen
Munuaissyövän diagnosoimiseksi lääkäri suorittaa kattavan terveystarkastuksen lapsen yleisen terveydentilan määrittämiseksi. Lapsen terveyshistoriasta ja tavoista kerätään tietoa.
Wilmsin kasvaimen diagnosoiminen ja taudin levinneisyyden arvioiminen perustuvat kuvantamiseen. Tieto kasvaimesta on mahdollista saada ultraäänitutkimuksen avulla, mutta kasvaimen tarkan koon ja levinneisyyden varmistamiseksi täytyy suorittaa magneetti- tai tietokonetomografiakuvaus. Yleensä kasvaimesta otetaan myös karkeaneulanäyte.

Munuaissyövän hoito
Wilmsin kasvaimen hoitoon kuuluu aina sytostaattihoito, jonka laatu ja kesto riippuvat taudin levinneisyydestä ja kudosrakenteesta. Tämän lisäksi hoitona voidaan käyttää leikkaushoitoa ja joissain tapauksissa myös sädehoitoa.
Valitettavasti nämä hoitomuodot voivat aiheuttaa ikäviä sivuvaikutuksia jopa kuukausiksi. Pahimmillaan oireet ovat munuais- ja sydänongelmia, mielialanvaihteluita, ajattelu- ja oppimisvaikeuksia ja jopa toisen tyyppisiä syöpiä.
Useimmissa sairastumistapauksissa ennuste on hyvä, ja yli 90 % potilaista säilyy hengissä. Myös potilailla, joilla tauti on levinnyt laajalle, on hyvä ennuste.
Jos lapsella huomataan mitä tahansa normaalista poikkeavia oireita, tulee ottaa välittömästi yhteyttä lääkäriin. Mitä tulee syövän hoitoon, aikainen toteaminen on erittäin tärkeässä roolissa.
Kaikki lainatut lähteet tarkistettiin perusteellisesti tiimimme toimesta varmistaaksemme niiden laadun, luotettavuuden, ajantasaisuuden ja pätevyyden. Tämän artikkelin bibliografia katsottiin luotettavaksi ja akateemisesti tai tieteellisesti tarkaksi.
- American Academy of Family Physicians. Recognition of Common Childhood Malignancies. Am Fam Physician; 61:2144-54. The Alliance for Radiation Safety in Pediatric Imaging’s “Image Gently” Campaign
- MedlinePlus. «Tumore de Wilms». Enciclopedia médica en español
- Rojas, V. & Pérez, Y. L. Cáncer Infantil: una visión panorámica. Revista PsicologiaCientifica.com, 13(19)
Tämä teksti on tarkoitettu vain tiedoksi eikä se korvaa ammattilaisen konsultaatiota. Jos sinulla on kysyttävää, konsultoi asiantuntijaasi.







